Кабинет "Стопа"

IMG 9984Здравствуйте уважаемые посетители сайта. Я рада вас приветствовать в моем кабинете подологии...

Подробнее...

23.jpg
6.png

Интересные ссылки

Halliflux

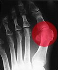
header1Исправление и лечение вальгусной деформации первого пальца стопы, в просторечии "косточки". На сегодняшний день предлагаем Вам наилучшее средство безоперационного лечения косточки.

hallufix

Что такое Halliflux®?

Ортопедическая вальгусная шина Hallufix® разработана учеными института Фраунгофера (Мюнхен) в сотрудничестве с ведущими немецкими ортопедами для исправления деформации стопы, плюсневой распластанности, коррекции поперечного плоскостопия, выпрямления вальгусного искривления большого пальца стопы и уменьшения болезненности.

Используемая днем при ходьбе и ночью во время сна, шина, кроме снятия болезненный ощущений и уменьшения припухлости сустава большого пальца, дает видимый результат: выпрямляет большой палец, корректирует поперечное плоскостопие, защищает сустав и помогает правильно зафиксировать всю стопу во время ходьбы.

Шина удобна и проста в использовании, универсальна: ее можно одеть как на левую, так и на правую ногу, подходит для ноги с 33 по 46 размер обуви.
В отличие от традиционных жестких ночных шин, Hallufix® можно использовать во время ходьбы. Основное ее действие происходит при динамической нагрузке на стопу. Благодаря наличию шарнира в области сустава большого пальца, сохраняется естественная подвижность стопы, а специальный дизайн шины позволяет использовать ее с удобной обувью.

Вальгусная шина рекомендуется для предохранения и коррекции стоп пораженных Hallux valgus. В любое время суток, при любой нагрузке Hallufix® облегчит боль и предотвратит искривление большого пальца стопы.

Как действует шина?

Hallufix® первая шина не только дневного, но и ночного ношения, разработанная учеными и ортопедами для облегчения боли и коррекции большого пальца (Hallux valgus,bunion pain). При этом Hallufix® незаметен и легко помещается практически в любую обувь.

Во время отдыха или при нагрузках, Hallufix® в любое время суток и при любых обстоятельствах защищает и корректирует.

000

Принцип действия

  • фиксирует стопу при каждом шаге;
  • защищает косточку без побочных эффектов;
  • исправляет искривление большого пальца;
  • эффективна как до, так и после операции;
  • снижает вероятность возникновения артроза;
  • сокращает реабилитационный период;
  • комфортна и незаметна практически в любой удобной обуви.

Hallufix® возвращает стопе природную форму, предохраняет и снимает болезненную опухоль. Надетая на большой палец, шина выпрямляет сдавленные и искривленные мягкие части основного сустава большого пальца, а также исправляет развивающееся искривление. При помощи специальной конструкции шины, плюсневой подкладки и пальцевой повязки стабилизируется положение стопы и регулируется ее правильная нагрузка. С применением шины Hallufix® стопа деформированная Hallux valgus двигается естественно и без боли. 

Поперечный фиксатор возвращает поперечную арку свода стопы в изначальное положение. Ношение шины, также, эффективно избавляет от поперечного плоскостопия, которое является нередким спутником искривления большого пальца. Следует отметить, что шина Hallufix® совмещает в себе функцию коррекции искривленного пальца и функцию опоры плюсны.


ohne Hallufix

без Hallufix®

mit Hallufix

с шиной Hallufix®

Вальгусная шина Hallufix® также эффективна и для профилактики появления «болезненной косточки». Это особено актуально при генетической предрасположенности.

На начальной стадии опухоль на косточке большого пальца выглядит как пятно и не вызывает дискомфорта, но со временем может причинять сильную боль. Если опухоль только начинает развиваться, регулярное ношение шины на пальце облегчит боль и предупредит осложнения. Hallufix® эффективно избавляет от болей, уменьшает отклонение, предотвращает дальнейшее прогрессирование деформации сустава, правильно регулирует нагрузку на стопу на начальной и средней стадии искривления большого пальца.

Противопоказания

При правильном использовании, повышенная чувствительность и/или аллергические реакции на шину Hallufix® не наблюдались.

Ношение шины не рекомендуется без консультации с вашим врачом, если невозможна пассивная коррекция вальгусного угла (<20?), т.е., когда при наложении шины оттягивание (выпрямление) большого пальца в горизонтальной плоскости сопровождается болью.

Использование шины Hallufix® желательно только после консультации с вашим врачом при следующих заболеваниях: при наличии еще незаживших послеоперационных рубцов, заболеваниях кожи в области наложения шины, особенно при воспалительных процессах, при приступах подагры, ревматизме, повышенной чувствительности к давлению, артрите основного сустава, полиневропатии (нарушении кровообращения и чувствительности, например, при сахарном диабете), нарушении лимфооттока, а также при неспецифических отеках мягких тканей в частях тела удаленных от места наложения шины.

Скачайте инструкцию по использованию здесь!

Комментировать могут, только зарегистрированные пользователи!

Наши публикации

Подагра или вальгусная деформация...

Подагра или вальгусная деформация...

Очень многие «болезненную косточку» на н...

Подошвенные бородавки...

Подошвенные бородавки...

Подошвенные бородавки очень болезненны ...

Аппаратные методики педикюра при сахарно...

Аппаратные методики педикюра при сахарно...

Аппаратный педикюр помогает решить дес...

Трещины стопы

Трещины стопы

Трещины на пятках — явление очень неприя...

Мозоли и натоптыши

Мозоли и натоптыши

Мозоль - ограниченное утолщение кожи. Мо...

Контакты

  • Киев, ул. Овручская 21 (вход со двора)
  • Кабинет подолога "Стопа"
  • тел. +38 (067) 405 70 33
  • e-mail: Этот адрес электронной почты защищен от спам-ботов. У вас должен быть включен JavaScript для просмотра.
Banner